(May 1, 2022 – written by Dave)
This blog post will remind long term readers of a similar post back in 2010 when we were getting ready to ride across Australia and onto Europe. The day before we were supposed to leave we were riding our bikes over to a friend’s house and somehow Nancy ran into me (Senior editor’s note –he meant to say, ‘I ran into Nancy’), she crashed, fell and broke her collarbone. When we took her to the hospital, they had to cut her out of her cycling jersey. All she remembers about the jersey now is that it was one of her favourites. She is not sure what colour it was. Maybe that’s just me but it seems that if it was really a favourite jersey, she’d remember more about it. Just saying, anyway…
Flash forward to 2022 and it was my turn to crash and break my collarbone. Yes, that’s sad but even worse, when I crashed I was wearing my favourite Kitsbow cycling jersey. As I lay on the ground holding my shoulder, all I could think about was if the ambos went crazy with their scissors I would have to find a new favourite jersey. Yes, I should have been worried about my collarbone and/or if I was seriously hurt but adrenaline does funny things. My only thought was “Please don’t cut my jersey!”

I received my jersey back in 2019 when we first became brand ambassadors for Kitsbow. Like a good chunk of the cycling industry, in the last three years Kitsbow has focused more on gravel/mountain riding, less on road riding. So, you guessed it, they no longer make my super hip wool Gersey road jersey.
Anyway, back to the crash. It was silly. Aren’t they always? We were just about home when we came upon some other cyclists. I was hanging back chatting with them and missed a corner. It’s a really sharp and dangerous corner but I’d been around it many, many times previously and knew it was there. I was just too busy being “Chatty Kathy” and I ended up in the ditch (Senior editor’s note – those that know Dave well will not be surprised that he was being Chatty Kathy…).
Nancy and our new friends, Judy and Karl, pulled up right away. Judy and Karl were both super helpful – thanks guys. I pretty much knew that my collarbone was broken. It’s something you just know. There was really no need to call the ambos as after all, it’s just a broken collarbone, happens all the time to cyclists. Well, not all the time, but often enough. Having ridden some 160,000 miles in my lifetime, it’s sort of a miracle that I’ve not broken one before now. While I rested roadside, Nancy rode home to grab the car. We loaded up my bike and then headed off to the urgent care clinic at the local hospital.
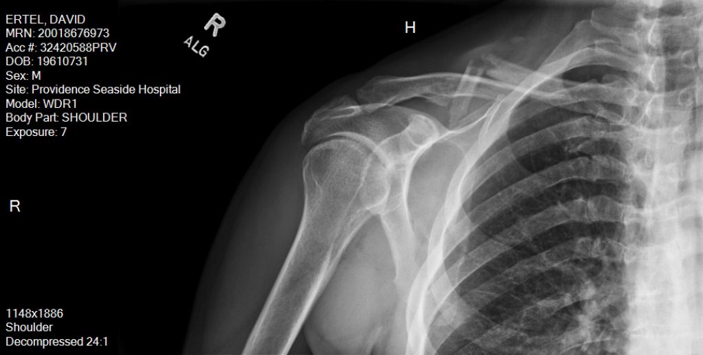
At the hospital, they confirmed the break. It was Sunday so they couldn’t do much more. They sent me home with some drugs and a sling. I had a follow-up meeting with an orthopaedic surgeon on Wednesday and then surgery on Thursday. These days they only insert plates in collarbones that have compound breaks. Mine was a “z” compound fracture – not good – I needed a plate. Without surgery, one of my arms would have been about an inch shorter than the other, easy call, get the surgery. Post operation, I now have a plate and 8 screws in my collarbone. For the record Nancy has a plate and 11 screws in her collarbone so she must have broken hers worse than I did.


The accident was on May 1st and my surgery was on May 5th., Right now I feel like I’m doing pretty well. I’ve had no pain since surgery; I’m sleeping well and can move my wrist and elbow without issue. I have a follow up with the orthopaedic surgeon next week and hope to start therapy soon after. It all depends on the bone healing and only an x-ray can reveal progress there. Riding may be slightly curtailed this year but getting the recovery right is most important now.
If there is a silver lining to this story, I’m happy to report that my Kitsbow jersey survived. With Nancy’s help, I managed to remove it in the emergency room carpark, without scissors! There was some pain and whimpering, but it was worth it save my favourite jersey. Thank goodness for the full length zipper.

And on a marginally related note, a couple months before the crash, Kitsbow accepted us again this year on their ambassador team. We won’t be shredding, getting big air or even riding (short-term) but when we do, you’ll find me in my well worn, formerly bright blue Gersey wool jersey. And if you want to pick up some Kitsbow for yourself, we’re happy to share a discount code with readers – just shoot us a note/comment.
Meanwhile, be safe out there and watch those sharp corners, especially if you’re one of those Chatty Kathy types!

I’m sorry to hear about the injury. All the best to a quick and complete recovery!
Thanks Mark – nice to hear from you.
I am very sorry to hear that you crashed and now have to deal with a broken collarbone. I hope you heal soon and are able to get in some rides – perhaps one-handed (one-armed?) mild rides – while we have good weather. I have had two collarbone breaks but neither had surgery and long enough back that I do not recall the recovery time. I would think that an elite gear sponsor could have talked Kitsbow into a limited run “Dave’s a klutz jersey”. Might have been a popular item.
Good idea Dale, I’ll shoot them a note, giving you full credit – haha
Oh my goodness. Not fun. However, 160, 000 miles is quite a record. I wish you continued speedy recovery and, just think, you can wear your Kitsbow jersey to the physical therapist office.
After a crash last January, where I lost more skin and have a foreign body in my left hand in the fifth knuckle, I began to think about my own cycling journey. This was brought to head when my younger brother took a bad crash and fractured the acetabulum of his left hip, 2 to 3 ribs, and his left clavicle. Fortunately the surgery for his hip has gone well and his clavicle remains in line without surgery. He is very determined and I think after a year or so will be able to get around reasonably well.
Good luck to your brother. For me so far, the hardest part is staying still. I want to get on with the therapy….
Wow! I was just thinking of both of you – how you are, how’s the home building etc. then this..
All I can say is that you’ve done well, with so many miles under your belt. Coming off the bike is inevitable at some point. The last time I came off my bike was when I saw a large spider running up my arm (something that can happen in Australia). Well.. instincts kicked in. I immediately brushed it off, using both hands! Went for a good tumble but thankfully no broken bones.
Noted. Keep a lookout for sharp corners.. Dave, recover quickly. And hey! We have a new government here!!
You gotta watch those Aussie spiders. But things will be safer otherwise now with the new government – haha
Glad to hear you are on the mend! “Chatty Kathy” that’s a new one!
New for me, or a new name??? I’m sure that you don’t think of me as overly chatty – right -haha
If Nancy needs someone to go for a ride with, I’m available most weekends… Hoping for a speedy recovery.
Thanks Chris, we’ll keep the ride thing in mind when we are in town – I’m already jealous…
Sorry to hear about the crash. Mend soon.
Roger that Chris, working hard at it…
Glad to see that you and your senior editor are up for a blog post. Where are the pictures of you now…. not just the x-rays?
Honest, I don’t look a day older than I did yesterday!
It’s great to see that you and your senior editor can get out a blog post! Where are the pictures of you now… not just x-rays?
I am so sorry this happened to you and glad it was not more serious. Your spirit sounds up so that is a good thing. I wish you both continued good health!
Thanks Mary Jo – we’ll be back on the roads soon, I hope!
Sorry to meet you and Nancy under such circumstances however Judy and I are very grateful for our new friendship. You’ll be up and spinning in no time. Don’t forget to do your PT 😀
Off now for my post dinner PT session, I’m ON IT!